انقباضات زودرس بطنی (PVC)

انقباضات زودرس بطنی (PVCs) ضربانات قلبیِ اضافی و غیرطبیعی هستند که به خاطر یک کانون نابجا در داخل بطن ایجاد میشوند. PVCها بسیار شایع هستند و اغلب بیماران بدون علامت میباشند، اما بعضی از بیماران ممکن است علائمی مثل سرگیجه یا تپش قلب داشته باشند. یافتههای معمول PVC در ECG عبارتند از کامپلکس QRS پهن، ایست جبرانی، انحراف محور قلب و وجود ضربانات بطنی به صورت تصادفی یا با یک الگوی پایدار، مثلاً دوتایی (couplets /bigeminy).
اندوکاردیت عفونی

اندوکاردیت عفونی (IE) یک التهاب عفونی اندوکارد است که دریچههای قلب را تحت تأثیر قرار میدهد. این عارضه معمولاً در نتیجه باکتریمی به وجود میآید، و خود این باکترمی غالباً در اثر اقدامات دندانپزشکی، جراحی، عفونتهای اولیه دور و تزریقات غیراستریل ایجاد می شود. IE ممکن است حاد (شکلگیری طی چند ساعت یا چند روز) یا تحت حاد (به صورت پیشرونده طی هفتهها تا ماهها) باشد.
نوار قلب (ECG)

الکتروکاردیوگرافی (ECG) یک وسیلهی تشخیصی مهم در بیماریهای قلبی است. ECG از الکترودها برای اندازهگیری سیگنالهای الکتریکی قلب استفاده کرده و این سیگنالها را به صورت خطوط مشخصی ثبت میکند. این خطوط اجازه میدهند تمام معیارها و ویژگیهای مهم قلب از جمله محور قلب، آهنگ ضریان و ریتم قلب و حتی میزان فعالیت الکتریکی قسمتهای ویژهی قلب (مثلاً با موج P، فاصلهی PR، کامپلکس QRS و قطعهی ST) مورد ارزیابی قرارا گیرند.
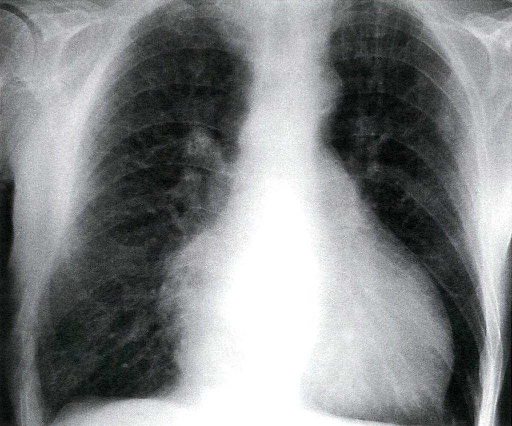
افیوژن پریکاردی و تامپوناد قلبی

افیوژن پریکاردی، تجمع حاد یا مزمن مایعات در فضای پریکاردی (بین پریکارد جداری و احشایی) است و اغلب با انواع اختلالات زمینهای همراه است. مایع می تواند خونی (به عنوان مثال، به دنبال دایسکشن آئورت) یا سرزوی (معمولاً ایدیوپاتیک یا با منشأ ناشناخته) باشد. از آنجایی که پریکارد نسبتاً سفت است، ظرفیت فضای پریکاردی محدود است.
تنگی دریچهی میترال

استنوز یا تنگی دریچهی میترال (MS) یک ناهنجاری دریچهای است که منجر به انسداد در مسیر جریان خون به درون بطن چپ میشود. شایعترین علت شکلگیری MS بیماری تب روماتیسمی است. تظاهرات بالینی بستگی به میزان تنگی دریچه دارند: کاهش مدخل دریچهی میترال منجر به احتقان پیشرونده قبل از تنگی دریچه میشود.
تنگی دریچهی آئورت

تنگی یا استوز دریچه آئورت (AS) یک بیماری دریچهای قلب است که با تنگ شدن دریچه آئورت مشخص میشود. در نتیجه، مسیر خروج خون از بطن چپ به آئورت انسداد مییابد. این امر منجر به افزایش بار اضافی مزمن و پیشرونده روی بطن چپ و شکلگیری نارسایی بالقوه بطن چپ میشود. بیمار ممکن است برای مدت طولانی بدون علامت باشد. به همین دلیل، AS اغلب وقتی علامتدار (تنگینفس در هنگام اعمال فشار، آنژین صدری یا سنکوپ) میشود، به این معنی است که بیماری دیر تشخیص داده شده.
سکته مغزی ایسکمیک

سکته ایسکمیک مغزی یک بیماری عصبی حاد است که در اثر اختلال در جریان خون مغزی ایجاد میشود (مانند انسداد عروق یا هایپوپرفیوژن سیستمیک). مهمترین عوامل خطر فشار خون مزمن سیستمیک و بیماریهای قلبی-عروقی است. از نظر بالینی، استروک ایسکمیک با شروع حاد اختلالات فوکال عصبی دذ بخشی از مغز که تحت خونرسانی رگ مربوطه است، مشخص میشود.
استاتینها
استاتینها داروهای انتخابی کاهش دهنده چربی هستند. استاتینها با مهار آنزیم HMG-CoA ردوکتاز، سنتز کلسترول کبدی را کاهش میدهند. این امر منجر به تنظیم مجدد گیرندههای LDL در سلولهای کبدی میشود، که به نوبه خود، سطح کلسترول، LDL و تریگلیسیرید را کاهش میدهد در حالی که کلسترول HDL را بیشتر میکند.
ادم

ادم عبارت است از تجمع غیرطبیعیِ مایعات در فضای بین بافتی که به علل مختلفی میتواند رخ دهد؛ مثلاً احتباس مایعات در بدن یا واکنش موضعی به تروما و آلرژی. ادم ممکن است که با تورم اندامها (ادم محیطی) یا تجمع مایعات در حفرهها و اندامهای داخلی (مثلاً ادم ریوی، افیوژن پلور) خود را نشان دهد.
مدیریت برادیکاردی
برادیکاردی به صورت کلی عبارت است از آهنگ ضربان قلبی کمتر از ۶۰ ضربان در دقیقه. مهمترین قدم در اداره سریع بیماران برادیکاردی تعیین ناپایداری بیمار میباشد که در صورت وجود ناپایداری باید سریعاً به بیمار آتروپین داده شود. اگر دسترسی داخل وریدی (IV line access) فراهم نیست و بیمار ناپایدار است، باید از جریان الکتریکی پوستی (Transcutaneous pacing) استفاده کرد.
