
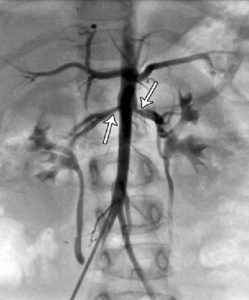
ایسکمی حاد اندام تحتانی (ALI)
ایسکمی حاد اندام (ALI) یک اورژانس عروقی است که در آن خونرسانی شریانی به یک یا چند اندام به شدت کاهش مییابد. ترومبوز شریانی و آمبولی قلب مسئول اکثر موارد هستند. علائم و نشانههای معمول شامل درد، رنگ پریدگی، کاهش نبض، سردی، فلج و پارستزی اندام است که در قسمت دیستال به محل انسداد ایجاد میشود.

















