سنگ کیسه صفرا

کوله لیتیازیس به وجود ترکیبات غیرطبیعی (مانند سنگ) در کیسه صفرا اشاره دارد. حدود ۱۰-۲۰% از بزرگسالان آمریکایی دارای سنگ صفرا هستند. سنگهای صفراوی معمولاً از کلسترول تشکیل شدهاند اما ممکن است پیگمانته (به علت همولیز یا عفونت) یا مخلوطی از کلسترول و پیگمانها باشند.
کلانژیت صفراوی اولیه
کلانژیت صفراوی اولیه (PBC) یا سیروز صفراوی اولیه، بیماری کبدی مزمن پیشروندهای است که با در آن تخریب خودایمن مجاری صفراوی دیده میشود. پاتوژنز بیماری نامشخص است. بیماری بیشتر زنان جوان را درگیر میکند و با سایر بیماریهای اتوایمیون نیز دیده میشود؛ در مراحل اولیه بیعلامت است و خستگی، شایعترین علامت آن است.
کلانژیت حاد

کلانژیت حاد (کلانژیت صعودی) به عفونت باکتریایی مسیر صفراوی گفته میشود که معمولاً ثانویه به انسداد صفراوی و استاز (مثلاً به علت کولهدوکولیتیازیس، تنگی صفراوی) ایجاد میشود. تریاد شارکوت، که شامل درد RUQ، تب و زردی است، تظاهرات بالینی کلانژیت حاد است، اگرچه همه بیماران این تریاد را نشان نمیدهند.
کیستها و تومورهای کبدی

تومورهای خوشخیم کبد و کیستهای کبدی شایع هستند و ممکن است در هر گروه سنی دیده شود. تومورهای خوشخیم کبد به ویژه در خانمهای جوان شایع است و شامل همانژیوم کبدی، هیپرپلازی گرهای کانونی (FNH) و آدنوم هپاتوسلولار (که به آن آدنوم سلول کبدی نیزمیگویند) است.
بیماری کرون

بیماری کرون (CD) نوعی بیماری التهابی روده (IBD) است که پاتوژنز آن کاملاً شناخته نشده است. تظاهرات بالینی CD ممکن است مشابه کولیت اولسراتیو (UC)، دیگر بیماری شایعِ IBD باشد. کرون بیشتر در بزرگسالان جوان و نوجوانان در سنین ۱۵ تا ۳۵ سالگی دیده میشود. این بیماری به طور معمول ایلئوم انتهایی را تحت تأثیر قرار میدهد، اما میتواند به طور متناوب کل دستگاه گوارش را تحت تأثیر قرار دهد و معمولاً منجر به عوارضی مانند فیستول، آبسه و تنگی روده میشود.
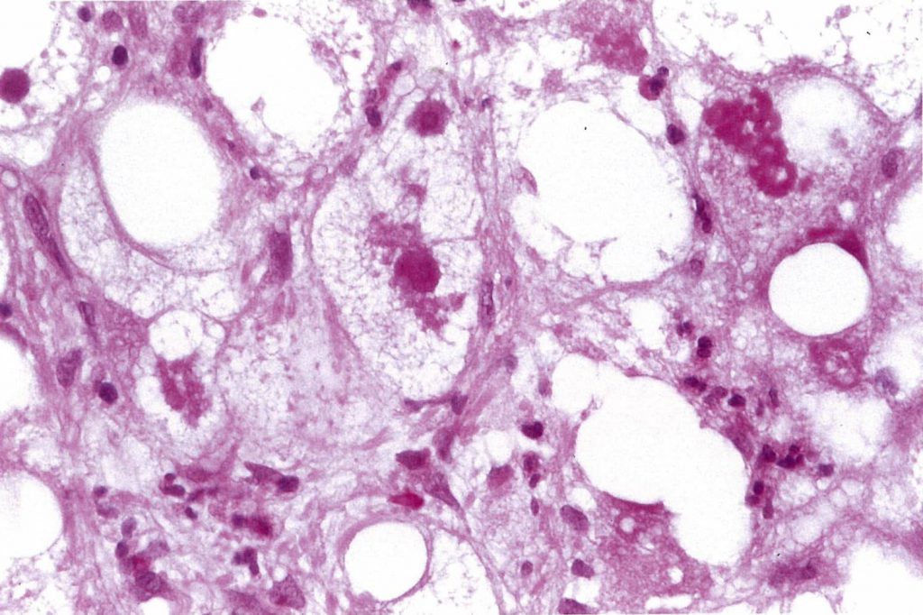
کبد چرب الکلی

بیماری کبد چرب الکلی (ALD) به طیف وسیعی از بیماریهای پیشرونده کبد ناشی از مصرف مزمن و بیش از حد الکل اشاره دارد. یک سوم جمعیت ایالات متحده بیش از حد توصیه شده الکل مصرف میکنند و خطر ابتلا به ALD را افزایش میدهند. سه مرحله از ALD وجود دارد که ممکن است به طور متوالی اتفاق بیافتد.
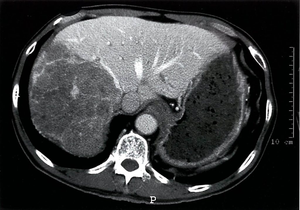
کارسینوم هپاتوسلولار (HCC)

کارسینوم هپاتوسلولار (HepatoCellular Carcinoma=HCC) تومور بدخیم کبد است که معمولاً مفرد و تنها (solitary) میباشد. این بدخیمی به صورت اولیه در بیماران با سیروز کبدی و هپاتیت مزمن به وجود میآید. اساساً این بیماری، یک تشخیص تصادفی است که از طریق سونوگرافی یا سطح بالای آلفا فتو پروتئین (a-fetoprotein) تشخیص داده میشود.
فیبروز خلف صفاقی
فیبروز خلف صفاقی (بیماری اورموند/ RPF) نوعی بیماری نادر است که علتِ آن ناشناخته میباشد و با التهاب و فیبروز خلف صفاق مشخص میشود و باعثِ فشار و گیرافتادن حالب و/ یا اجزای خلف صفاق میشود. RPF ممکن است اولیه (ایدیوپاتیک) یا ثانویه (مثلاً، دارویی، التهابی، ایاتروژنیک) باشد. بیماران معمولاً با علائم غیراختصاصی مراجعه میکنند (تب، بیحالی، کاهش وزن، درد پهلو و …). انسداد دوطرفهی حالب و به دنبال آن هیدرونفروز و نفروپاتیِ انسدادی نیز شایع میباشد.
فتق هیاتال

فتق (هرنی) هیاتال به بیرونزدگی غیرطبیعی ارگانهای شکمی از جمله معده (شایعتر) یا رودهها به داخل قفسه سینه از طریق سوراخ عبوری مری در دیافراگم گفته میشود. این عارضه میتواند مادرزادی و یا اکتسابی باشد، از ریسک فاکتورهای فتق هیاتال اکتسابی میتوان به سیگار، چاقی و افزایش سن اشاره کرد. میتوان انواع آن را به چهار دسته تقسیم کرد: Sliding (لغزشی)، پاراازوفازیال، مختلط و کمپلکس.
عفونتهای اکینوکوکوسی

اکینوکوکوس انسانی، یا بیماری هیداتید، جزو بیماریهای انگلی تلقی میشود که توسط کرمی نواری شکل از اکینوکوکوسها به وجود میآید. شایعترین فرمهای بیماری هیداتید شامل اکینوکوکوزیس کیستیک (کرم اکینوکوکوس گرانولوز) و اکینوکوکوزیس الوئولار (اکینوکوکوس مولتی لوکولار) میباشد. عفونت با خوردن تخمهای انگل از طریق بردن دست به دهان و یا مصرف غذا و آب آلوده به مدفوع سگ یا سایر حیوانات به انسان منتقل میشود.